Rehabilitación Bimaxilar E-max
Protocolo Digital de Rehabilitación Oral
Zirconio Nature antes & despúes
Luminers
Rehabilitación completa sobre dientes naturales metal cerámica
Rehabilitación Arcada Superior ZIRCONIO
Coronas individuales Feldespáticas Cerámica Total
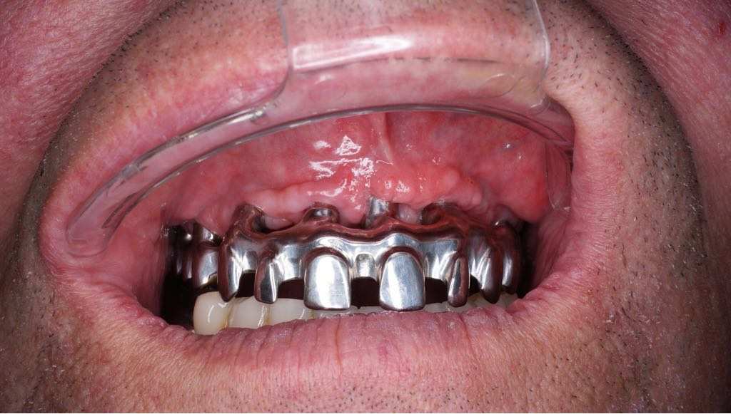
Barra sobre implantes Titanio
Arco Superior Composite sobre Estructura Anatómica Titanio
Carillas Estéticas
Rehabilitación Zirconio Nature
Rehabilitación Superior: Disilicato - Metal Cerámica & Zirconio (21 Implante)
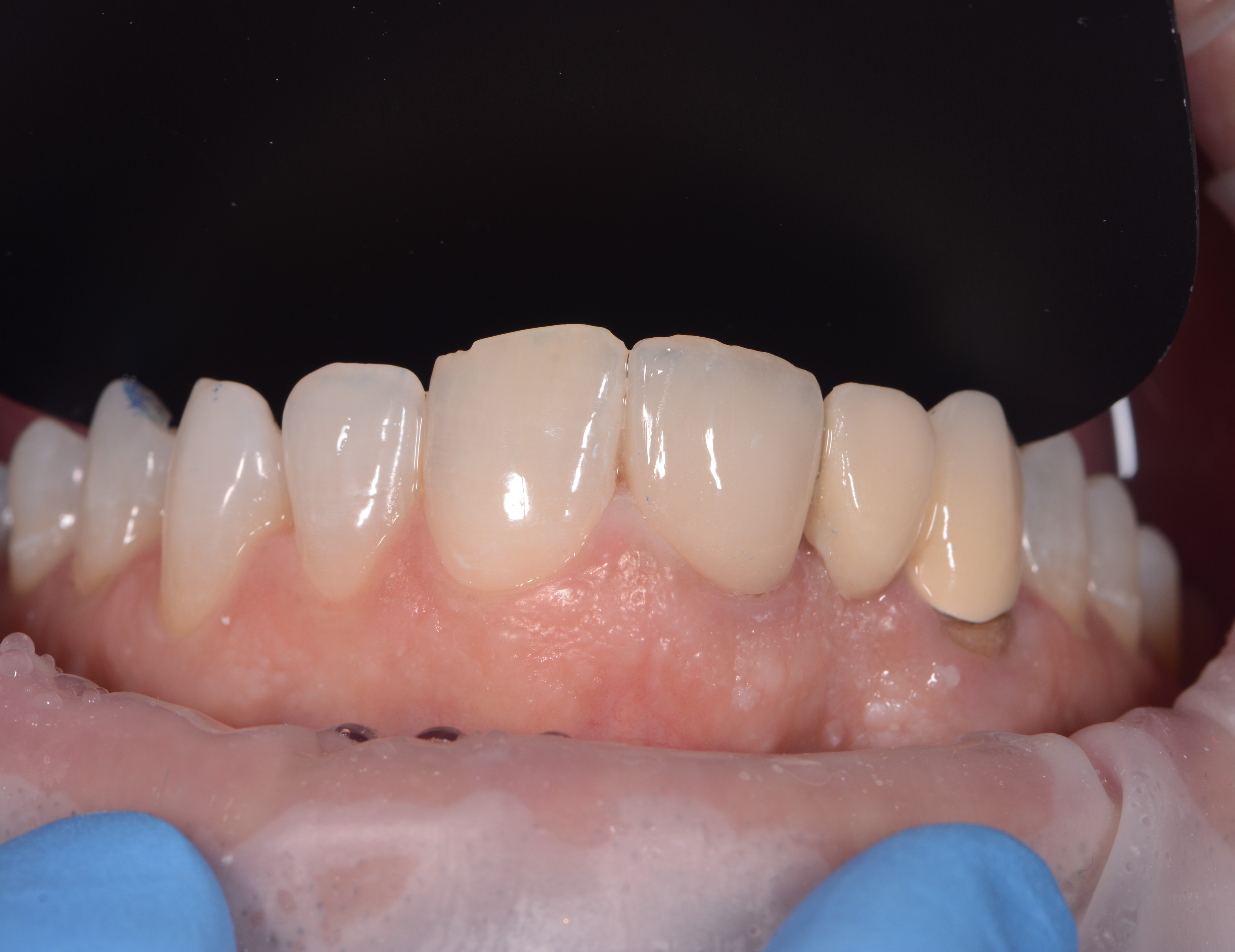
Metal-Cerámica
Corona Zirconio pieza 11...Esperamos rehabilitar pronto 12 y 13
Barra Telescópica con Locator
Diseño 3D
Telescópica Extraíble
Coronas Zirconio estratificado 12-22
Mock Up
VEENERS
METAL CERAMICA
ISOPOST SOBRE IMPLANTES
COMPOSITE SOBRE TITANIO
TITANIO-COMPOSITE
carillas en Lamina PLATINO
DEFINITIVO CARGA COMPOSITE ANAXDENT
CARGA INMEDIATA
Todas nuestras rehabilitaciones están guiadas por Escáner Facial y Diseño de Sonrisa (DSD)